КОМПЛЕКСНЫЙ
CHECK-UP
БЕСПЛАТНО!
Подробнее
На сайте используются cookie.
OK

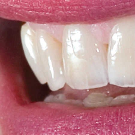
Откуда берутся трещины на эмали зубов?

Зубная эмаль — самая прочная твердая ткань в нашем организме, но и она подвержена разрушению. На ней могут появляться трещины различных размеров, которые не всегда заметны или сопряжены с физическим дискомфортом. К возрасту 45–50 лет трещины покрывают все зубы. В подавляющем большинстве случаев это линейные (продольные) дефекты на эмалевом покрытии, поперечные и косые встречаются значительно реже. Они способствуют обострению чувствительности к различным раздражителям, запускают кариозный процесс, приводят к развитию пульпита и другим осложнениям вплоть до потери зуба, поэтому требуют скорейшего грамотного лечения. 

трещина эмали зубатрещина эмали зубатрещина эмали зуба

Почему эмаль трескается?

Нарушение целостности твердой ткани зуба может произойти по естественным причинам, например, при пережевывании пищи, употреблении горячих и холодных напитков, в силу возраста. Однако основная роль отводится физическому и механическому воздействию, возникающему вследствие травм, а также различных нагрузок при проведении врачебных манипуляций:

  • давление инструментом;
  • вибрации;
  • нагрев;
  • агрессивное химическое воздействие;
  • напряжение пломбировочного материала.

К факторам, которые усиливают риск появления трещин, относятся: 

  • недостаточная гигиена полости рта;
  • недостаток витаминов и минеральных веществ в питании;
  • регулярное использование отбеливающей зубной пасты;
  • нарушение кислотно-щелочного баланса слюны;
  • заболевания десен;
  • окклюзивные нарушения;
  • резорбция (разрушение) костной ткани;
  • ослабление структуры зубов из-за нарушения технологии отбеливания зубов;
  • кариозные поражения;
  • парафункциональные привычки (пациент грызет ногти, карандаши, зубочистки, раскусывает зубами орехи, леденцы).

Признаки трещин на зубной эмали

Трещины на эмали зубов могут быть незаметны невооруженным глазом, но их появление можно предположить по ряду признаков:

  • повышение чувствительности к горячей и холодной пище;
  • боль при пережевывании пищи, во время чистки зубов, смыкании челюстей;
  • острая реакция на вдыхание холодного воздуха;
  • неровности, темные полоски на поверхности зубов.

Объективно определить их наличие, глубину удается только с помощью специального оборудования. Для выявления микротрещин применяются окрашивающие растворы, а также метод трансиллюминации, основанный на оценке тенеобразований, которые возникают при прохождении через зуб холодного пучка света. Эта процедура абсолютно безвредна для организма, позволяет обнаружить нарушения целостности твердой ткани с участками кариеса. 

Классификация трещин

В зависимости от характера нарушений выделяют 3 типа трещин:

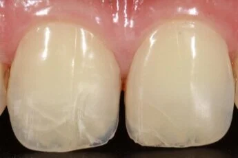
  • 1 — очень тонкие продольные, незаметны при визуальном осмотре. Определяются под бинокулярной лупой (с увеличением в несколько раз) при окрашивании, дополнительном освещении;
  • 2 — глубокие, которые видны без увеличения, только при дополнительном освещении;
  • 3 — множественные глубокие, обнаруживаются невооруженным глазом при естественном освещении, могут быть продольными, поперечными, косыми.

Как правило, глубокие трещины наблюдаются на передней поверхности зубов. Чаще всего на фронтальных зубных единицах верхней челюсти, молярах и премолярах нижней челюсти. Поскольку в них могут задерживаться никотин, пигменты пищевых продуктов (кофе, красного вина, темных ягод), цвет эмали на этих участках темнее. Стоит сказать, что признаки повреждения твердой ткани могут быть обнаружены не только на зубах, подвергавшихся лечению, но и на здоровых.

Большое значение при выборе варианта лечения имеет не только глубина трещины, но и ее направление:

  • вертикальные (продольные) — обычно поверхностные, могут не вызывать физического дискомфорта, поэтому позволяют обойтись без серьезного стоматологического вмешательства, если не создавать повышенную нагрузку зубам;
  • горизонтальные — могут привести к откалыванию части зуба, чаще всего связаны с развитием кариеса или травмой, для сохранения целостности требуют немедленного лечения;
  • косые — часто бывают глубокими, сопряжены с неприятными ощущениями при еде, гигиене полости рта, вдыхании холодного воздуха, нередко приводят к появлению сколов, поэтому нежелательно откладывать лечение надолго.

Бывают ситуации, когда внешне зуб выглядит здоровым, но пациент жалуется на боль. Если внешнее обследование не выявило проблему, врач может назначить рентгенографию. Это исследование позволяет определить наличие внутренних повреждений твёрдой ткани.

Способы лечения

Реминерализация

При анализе микротрещин было выявлено, что химический состав дефектов ощутимо отличается по содержанию фосфора, кальция, серы. Если трещина очень маленькая, то она залечивается самостоятельно: заполняется за счет направленного изменения свойств тканей, примыкающих к дефекту.

Такой способ восстановления работает и при выявлении более глубоких трещин на эмали: дефект «цементируется» полимерным раствором на основе соединений с фтором, кальцием, фосфором. Минерализация приводит к укреплению эмали. Чтобы предупредить увеличение трещины, на поверхность зуба наносится специальный лак, который продолжает питать ткань. Процедуру рекомендуется повторять примерно один раз в полгода.

Реставрация винирами

Замаскировать видимый косметический дефект на зубах в зоне улыбки, защитить от дальнейшего разрушения твердую ткань помогают тонкие накладки — виниры или люминиры. Они приклеиваются к передней поверхности после снятия небольшого слоя эмали.

Установка коронок

Глубокие трещины на эмали, горизонтальные дефекты на жевательных зубах закрыть винирами невозможно. Их реставрируют с помощью коронок после лечения кариеса и пломбировки корневых каналов. Перед установкой зуб обтачивается. 

Удаление зуба

Если повреждения тканей глубокие, сочетаются с обширным кариозным процессом, воспалением тканей десны, то зубную единицу удаляют. После этого необходимо выполнить протезирование, так как возможно смещение зубного ряда, изменение положения соседних зубов. 

Профилактика образования трещин

Что делать, чтобы сохранить крепость зубов до преклонной старости? Рекомендуем соблюдать несколько элементарных правил:

  • следить за питанием, отказаться от вредных продуктов в пользу органических, богатых витаминами, минеральными веществами;
  • обеспечить правильную регулярную гигиену полости рта, использовать отбеливающие пасты после консультации со стоматологом;
  • отказаться от вредных привычек, в том числе парафункциональных;
  • избегать воздействия на зубы контрастных температур;
  • проводить профессиональную чистку, отбеливание зубов только в медицинской клинике у специалистов соответствующего профиля;
  • регулярно проверять состояние ротовой полости, своевременно лечить стоматологические заболевания.

Даже внешне незаметная трещина на эмали зубов под воздействием внешних и внутренних факторов может стать причиной более серьезных патологических процессов. Тогда почти незаметный косметический дефект перерастет в заболевание, которое потребует длительного лечения и ощутимых финансовых вложений. 

Возьмите за правило обращаться по поводу любых проблем с зубами в специализированную медицинскую организацию. Отдаленные последствия стоматологических манипуляций, в том числе образование трещин на эмали, во многом зависят от компетентных и умелых действий врача. Ряд исследователей выдвинули предположение и доказали, что причиной трещинообразования могут быть собственные напряжения зуба, которые требуют правильного подхода к препарированию перед пломбировкой или протезированием. 

Необходимо тщательно подбирать клинику и врача, который будет заниматься лечением. Отдавайте предпочтение опытным специалистам, владеющим современным технологиями протезирования, располагающим диагностическим оборудованием и инструментами нового поколения. Такие условия созданы в стоматологическом центре «Стомос», врачи которого уже более 20 лет успешно занимаются лечением пациентов с заболеваниями полости рта и зубочелюстными патологиями.

Евгений Олегович Котелевский

Медицинский куратор
Задать вопрос

Клиника №1

Победитель Всероссийского конкурса частных стоматологических клиник в 2021 году.
Осипов Андрей Викторович - доктор имплантолог

Мы поможем

От простого кариеса до сложнейших операций — наш многопрофильный подход позволяет решить любую задачу.
Записаться на прием

Осипов Андрей Викторович

Основатель клиники "У нас честные цены и высокое качество. Мой номер доступен каждому."

О нашей клинике

Центр «Стомос», которым руководит кандидат медицинских наук доктор Осипов, является примером авторитетной стоматологической клиники. Основным и единственным видом деятельности клиники является лечение пациентов с зубочелюстными патологиями и заболеваниями полости рта.

150К

Довольных
клиентов

70К

Успешных
имплантаций
Основана в 2003 году
01
Профессиональная хирургическая, ортодонтическая и терапевтическая помощь пациентам со стоматологическими заболеваниями.
02
Предоставляются услуги по проведению профессиональной чистки полости рта, устранению зубных отложений.

Рейтинги на независимых площадках

Видеоотзывы

Наталья Борзунова

Хочу выразить благодарность замечательной клинике Стомос, доктору Андрей Викторовичу Осипову, который уже на протяжении многих лет старается делать мне красивую улыбку. Также не могу не отметить совершенно потрясающего доктора - Туран Расимовну Мирзоеву. Она мне помогла вылечить долго меня мучавший зуб. Спасибо большое доктору, спасибо большое клинике!

Галина Григорьева

Хочу выразить благодарность. Обратилась в поликлинику Стомос. Проблемы с зубами у меня были. Здесь мне помогли. Зубки мои подделали, подлечили. Андрей Анатольевич - очень ему признательна! Он все сделал. Девочки администраторы тут всегда вежливы, приветливы, всегда все вовремя. Ни в чем не отказывают, всегда внимательны. Всем моя благодарность.

Елена Иванова

Я хочу выразить слова благодарности стоматологической клинике Стомос. За комплексное лечение моих зубов, за прекрасное обслуживание. Вы лучшие! Я вас буду рекомендовать своим друзьям и сама буду приходить также часто. Спасибо!

Мария Бахтина

Хочу выразить слова благодарности клинике. Хожу уже довольно долго. Много было докторов в данном учреждении. Сначала Евгений Олегович, делал зубы шикарно - лучше, чем были. Потом Кассем Зейн. Парень, молодой, красивый. Ну что сказать. Ну и Андрей Анатольевич, кудесник своего дела. Сделали коронки. Затем устранили гипертонус. Мне все нравится. Спасибо огромное!

Елена Калинина

Я попала в клинику в далеком 2006 году по экстренной ситуации. Для меня улыбка важна, я работаю с детьми. И вот в клинике меня вернули к жизни. Я очень благодарна. А недавно по случайности нелепой я снова оказалась в этой клинике и доктор замечательный Бычков Андрей Анатольевич все сделал превосходно. Спасибо доктору Осипову, спасибо всему персоналу.

Власова Варвара

Я неоднократно обращалась по имплантации в другие клиники и мне есть с чем сравнить. Очень понравилось, что все быстро, минимум боли, все цифровое и по-современному.

Лицензии

Статьи

26.07.2025

Как устанавливаются коронки на зубы

Давайте разбираться, как же устанавливаются коронки, каких видов они бывают и в чем их преимущества
Читать статью
26.07.2025

Как происходит процедура реминерализации зубной эмали - блог стоматологической клиники "Стомос"

Зубы отличаются особой прочностью благодаря содержанию в их тканях различных минералов. Верхний дентальный слой с белой блестящей поверхностью называется эмалью и считается самой твердой структурой в организме.
Читать статью
26.07.2025

Откуда берутся трещины на эмали зубов? Блог стоматологической клиники доктора Осипова А.В.

Из-за чего возникают трещины на эмали зубов? Давайте разбираться в причинах, последствия и методах лечения в данной статье
Читать статью
26.07.2025

Зачем нужна чистка зубов Air Flow? Блог стоматологической клиники "Стомос"

Чистка зубов Air Flow - это необходимость или профилактика? Давайте разбираться в нашей статье
Читать статью
26.07.2025

Костная пластика при имплантации зубов — Блог стоматологической клиники «Стомос»

Костная пластика требуется перед установкой имплантата, если у пациента не хватает объема костной ткани. Читайте о костной пластике в статье стоматологической клиники «Стомос»
Читать статью
26.07.2025

Лингвальные брекеты: виды конструкций, достоинства и недостатки, правила ухода — Блог стоматологической клиники «Стомос»

В данной статье мы подробно разберем, что такое лингвальные брекеты, каковы их преимущества и недостатки
Читать статью
26.07.2025

Что такое пародонтология в стоматологии

С какими заболеваниями борется направление стоматологии "Пародонтология", - давайте разбираться в статье
Читать статью
26.07.2025

Гипоплазия эмали зубов – симптомы и лечение — Блог стоматологической клиники «Стомос»

В данной статье мы разберемся, что такое гипоплазия эмали зубов, каковы ее симптомы и как с ней бороться.
Читать статью
26.07.2025

Зубной камень: чем он опасен и как от него избавиться? — Блог стоматологической клиники «Стомос»

Чем опасен зубной камень? Какие болезни он может спровоцировать? Давайте разбираться в статье
Читать статью

Приезжайте на прием в нашу клинику по адресу



Адрес:

Москва, ул. Косыгина д.5

График работы:

Ежедневно с 9.00 до 21.00

Телефон:

+7 (495) 968 53 08