Врачи говорят: «Болезнь лучше предупредить, чем потом долго и трудно лечить». В стоматологии действует тот же принцип. Чем ждать, пока в зубе появится дырка, лучше регулярно проводить профилактику ротовой полости.
К превентивным мерам в отношении кариеса относится фторирование зубов.
Рассказываем, что это и почему такую процедуру лучше делать у стоматолога.

Это один из методов укрепления эмали. Он надежно защищает от кариеса. Роль фтора в человеческом организме трудно переоценить. Микроэлемент входит в состав зубной эмали и дентина. Благодаря ему зубы становятся прочными и стойкими к агрессивным средам. Если фтора не хватает, зубные коронки приобретают чрезмерную чувствительность к горячему, холодному, кислому, что сильно усложняет процесс приема пищи. Также нехватка микроэлемента приводит к развитию ряда патологических процессов в ротовой полости:
Для чего нужно фторирование зубов? Во время процедуры на эмаль наносятся специальные составы. Они насыщают зубы важными микроэлементами. Лечение безболезненно и проводится в комфортных для пациента условиях.
Фторирование зубов в стоматологии дает следующие результаты:

Большинство людей ведет неправильный образ жизни, что неизбежно способствует разрушению органов и систем. Зубы только с виду кажутся крепкими. Но и они подвержены разрушению, которое может начаться даже в молодом возрасте. Особенно негативно воздействуют на зубы курение, чрезмерное потребление кислот и углеводов, продуктов с пищевыми красителями.
Преимущества фторирования:
Недостатки фторирования:
Наполнить эмаль фтором можно разными способами.
Короткая процедура, которая длится не более 10 минут. Минус метода — один сеанс не принесет нужного эффекта. Нужно минимум 10 процедур — по одномй в неделю. Плюсы — самый щадящий способ. Применяемое для фторирования вещество содержит небольшой процент фтора, а потому безопасно и не может вызвать флюороз.
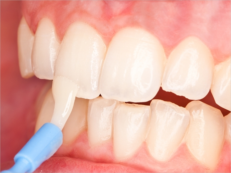
Процедура заключается в нанесении на зубы фторлака. Теоретически манипуляцию можно провести самостоятельно, но мы категорически не рекомендуем это делать. При случайном попадании на слизистую средство вызывает сильный ожог. В стоматологической клинике в обязательном порядке выполняется защита губ и десен.
Процедура рекомендована:
Наилучшая по эффективности процедура. Такое фторирование зубов нужно обязательно проводить после чистки. Микроэлементы хорошо проникают вглубь эмали и даже в дентин.
Как проводится глубокое фторирование зубов:
В зубы при помощи электроимпульсов принудительно вводят фторсодержащие вещества. Процедура довольно неприятная. У людей с низким болевым порогом проводится с использованием закиси азота.
Как делают фторирование зубов при помощи электрофореза:
Метод популярен у тех, кто не любит посещать стоматологов. Домашнее фторирование — это не что иное, как чистка зубов фторсодержащими пастами. Эффективность минимальна, но есть риск переборщить с фтором и заработать флюороз. Особенно это касается маленьких детей, которые нередко используют зубную пасту не по назначению — глотают, вместо того чтобы выплевывать.
Стоматологи крайне не рекомендуют этот способ. Если же вы все-таки решились на фторирование зубов дома, соблюдайте следующие правила:
Также для домашней минерализации зубов популярны гели с микроэлементами. Их наносят на эмаль после традиционной утренней или вечерней чистки зубов, держат некоторое время, затем выплевывают и полощут рот. Рекомендуется применять такие составы только после консультации со стоматологом.
Цена зависит от выбранного метода фторирования (глубокий, фторлак, быстрый и т. п.). В клинике стоматологии и имплантологии Андрея Осипова используются только оригинальные, безопасные для здоровья, проверенные материалы. Стоимость фторирования зубов невысокая.
| Услуга | Стоимость, руб. |
|---|---|
| Глубокое фторирование твердых тканей зубов. Аппликация фторсодержащим препаратом 1 зуб | 1 000 руб. |
| Глубокое фторирование твердых тканей зубов. Fluocal solute (все зубы) | 1 500 руб. |
| Глубокое фторирование твердых тканей зубов. Seal&protect (1 ЗУБ) | 1 500 руб. |
| Глубокое фторирование твердых тканей зубов. Seal & protect (1зуб) | 1 000 руб. |
Кариес — это неэстетично, больно, к тому же влечет за собой множество осложнений, в том числе возникновение патологий внутренних органов. Не ждите, когда зубы начнут реагировать на горячее, холодное, кислое. Записывайтесь к нам на фторирование прямо сейчас — сделайте первый шаг к здоровой улыбке.